影像课堂|Micro-CT在骨精准成像及定量分析中的应用
来源:
|
作者:锐视医疗
|
发布时间: 2025-06-06
|
664 次浏览
|
🔊 点击朗读正文
❚❚
▶
|
分享到:
Micro-CT是一种非侵入性3D成像技术,尤其适用于骨骼研究,能精准分析骨微结构,成为骨形态评估的"金标准"。锐视科技Micro-CT成像系统IMAGING 100精确识别并计算缺损处新生骨参数,为骨疾病研究和治疗提供了重要工具。
Micro-CT是一种非入侵性的3D成像技术,能够在不破坏样本的情况下了解样本内部的显微结构。由于骨骼与其它身体组织在X射线衰减性能方面有相对明显差别,因此Micro-CT特别适合骨骼成像,骨骼参数的研究也是Micro-CT的重要应用领域之一,Micro-CT已经成为评价骨形态和骨微结构的“金标准”。
股骨是骨代谢疾病、创伤修复及肿瘤研究的天然模型。例如,在骨质疏松研究中,通过股骨组织工程模型可模拟骨量丢失、微结构破坏过程,揭示骨代谢失衡机制;对于股骨头坏死研究,通过建立缺血模型可动态观察血管再生、骨细胞凋亡过程,为早期诊断标志物筛选提供依据。用动物模型正确理解股骨的解剖和生物力学特征,有助于对其损伤进行合理的治疗。
IMAGING 100是锐视科技自主研发的超高分辨率、离活一体的Micro-CT成像系统。IMAGING 100采用微焦点X射线管和高分辨平板探测器,通过锥形束CT扫描和三维图像重建技术,实现离活一体快速扫描成像。

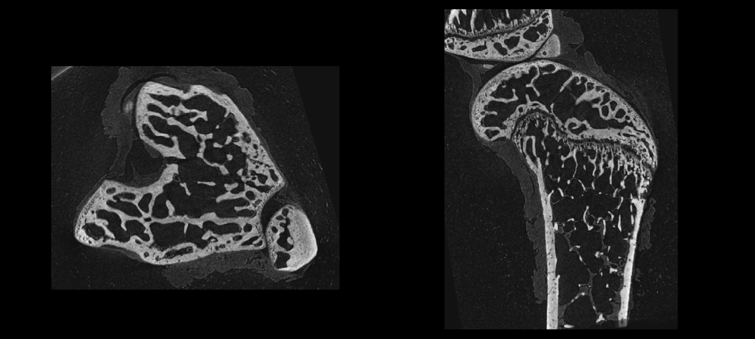
离体小鼠股骨扫描二维断层成像

离体小鼠股骨3D重建及彩色渲染
IMAGING 100 软件系统中骨分析模块,具有自动分割皮质骨和骨小梁功能,可在图像上选择感兴趣区域(Region of interest,ROI)做阈值分割等操作,分割皮质骨和松质骨,分别提取不同组织区域,从而对皮质骨和松质骨的各种形态学特性进行研究和分析。
2D及3D骨小梁和皮质骨分割提取
骨参数计算
在骨再生材料研究中,Micro-CT(显微计算机断层扫描技术)作为一种高分辨率、无损的三维成像技术,已成为评估材料性能、观察骨再生过程及量化分析骨微结构的关键工具。
案例说明:在大鼠头部去除骨膜以暴露顶骨,建立直径为5毫米的缺损模型,将仿生骨膜放置在缺损处,八周后使用锐视科技Micro-CT成像系统IMAGING 100对大鼠的颅骨扫描成像,评估缺损区域的新骨形成情况。可观察到使用骨生成材料的治疗组大鼠颅骨(右图)恢复情况好于对照侧(左图)。

使用IMAGING 100软件骨分析模块,通过应用勾画、阈值分割等功能,精确识别缺损处的新生骨,如下图绿色标记处,并对新生骨进行骨参数计算。
